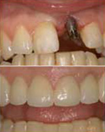
Qu'est-ce qu'un implant dentaire ?
L'implant dentaire est l'équivalent d'une racine de dent bien ancrée dans la mâchoire. Selon les besoins et le cas, ce substitut artificiel recevra la dent en porcelaine ou sera utilisé avec d'autres implants ou d'autres dents pour soutenir un pont fixe ou une prothèse amovible. Les implants dentaires sont faits de titanium, un matériau complètement biocompatible et solide. Les implants dentaires sont insérés dans l'os de la mâchoire pour remplacer la racine dentaire manquante. Après une courte période de guérison, l'os s'attache à l'implant, c'est-à-dire un processus appelé l'osséointégration. C'est à ce moment qu'une dent de remplacement peut être fixée sur l'implant.
Les implants dentaires sont utilisés pour remplacer les dents perdues ou endommagées, sans avoir recours à des dentiers, partiels ou couronnes. Les implants dentaires sont comme des dents naturelles, même supérieurs, car ils ne peuvent pas être affectés par la carie ou par un abcès du nerf. En plus, une fois installés, les implants empêchent la perte de l'os et, par conséquent, le vieillissement du visage. Le taux d'intégration des implants (taux de succès) dépend de la quantité et la qualité d'os existant au moment de l'implantation. Les statistiques montrent un taux de succès très satisfaisant ; de 85 à 90% pour la mâchoire supérieure et la partie arrière de la mâchoire inférieure et de 95 à 100% pour la partie avant de la mâchoire inférieure. Ce taux de succès diminue de 10% pour les fumeurs.
