Qu’est-ce que la dentisterie esthétique
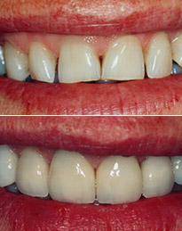
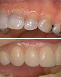
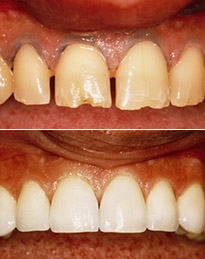
La dentisterie esthétique permet d’obtenir un sourire éblouissant et une bouche éclatante de santé. Le docteur Farsirotu et son équipe peuvent corriger une multitude de problèmes comme les espaces entre les dents, les usures, les décolorations, le sourire vieillissant et combien d’autres. L’expertise du Centre d’implants et d’esthétique dentaire de Montréal permet de vous offrir des services de reconstruction complète et partielle, le design du sourire et l’ensemble des exécutions liées à l’esthétique dentaire comme les facettes, couronnes, prothèses et autres. Nous voulons créer un sourire qui s’harmonise avec votre visage.
Des milliers de patients ont retrouvé un sourire plus jeune et ont pu bénéficier d’une simple correction ou d’une transformation complète. Leur apparence a complètement été transformée ; leur sourire exprime maintenant la santé, le bien-être et l’assurance. Nous vous proposons des solutions sur mesure pour vous redonner le sourire. En savoir plus sur l’intervention.
