Les nombreux avantages de la technologie Cerec 3D !
Cerec 3D est un procédé de restauration dentaire éprouvé, durable, rapide et fiable. Cette technologie procure à votre sourire un éclat naturel en redonnant forme et fonction à vos dents. Avant le traitement, le docteur Farsirotu vous explique les étapes de restauration et répond à vos questions. Après avoir préparé la dent à soigner, il prend une empreinte optique de la cavité à l'aide d'une caméra 3D. La conception de la restauration se fait instantanément, vous pourrez voir le procédé de restauration en animation 3-D virtuelle. En quelques minutes, dans une chambre de meulage située dans la clinique, le docteur procéde à l'usinage d'un bloc de céramique aux propriétés similaires à l'émail. La restauration de céramique, sculptée telle une œuvre d'art, sera ensuite polie mécaniquement ou maquillée avant d'être apposée à la dent.
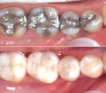
La Technologie CEREC 3D vous offre une restauration en porcelaine pure sans structure métallique et offre précision, esthétique et fonction maximale. La réalisation d'une couronne / facettes / incrustations s'effectue en un seul rendez-vous et offre une durée de vie 3 fois plus longue que les restaurations conventionnelles. Notre clinique vous propose ce produit au même coût ou à un prix légèrement supérieur aux restaurations conventionnelles. Nous remplaçons gratuitement toute restauration brisée pendent une fonction masticatoire normale, pendant 15 ans si vous maintenez une routine de rendez-vous réguliers (nettoyage et examen) deux fois par année dans notre bureau.
